我家那隻橘貓「阿肥」,前陣子突然對最愛的肉泥興趣缺缺,靠近聞一聞就走開。我起初以為牠挑食,直到某天掰開牠的嘴,看到後排牙齦一片明顯的紅腫,甚至有點出血,我才驚覺事情大條。帶去看獸醫後,才知道這是典型的貓牙齦炎初期症狀。如果你也發現貓咪牙齦紅紅的、口臭、或是吃飯樣子怪怪的,別慌,這篇文章就是我結合獸醫建議與自身照顧經驗,整理出的完整指南。
貓牙齦為什麼會會紅腫?三大常見原因解析
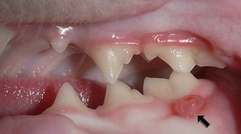
牙齦紅腫只是一個表象,就像發燒是症狀一樣,背後的原因才是治療關鍵。獸醫告訴我,門診中最常見的主要是以下三類。
牙菌斑與牙結石引起的牙齦炎
這是最普遍的原因。貓咪吃完東西,食物殘渣和細菌會在牙齒表面形成一層牙菌斑。如果沒有定期清潔,牙菌斑會礦化成堅硬的牙結石,堆積在牙齦交界處。這些細菌和結石會持續刺激牙齦,引發發炎、紅腫、流血。你可以想像成你的指甲縫一直卡著髒東西,周圍的皮膚肯定會發炎不舒服。很多貓咪兩三歲後就會開始出現這個問題,尤其是只吃濕食、從不刷牙的貓。
親身觀察:阿肥的牙結石是黃褐色的,主要堆積在後臼齒的外側。獸醫用探針輕碰牠紅腫的牙齦,阿肥立刻有閃躲反應,這表示已經有疼痛感了,但牠平時忍著沒表現出來。
貓慢性牙齦口炎
這是一種讓貓非常痛苦、也讓飼主和獸醫頭痛的嚴重免疫性疾病。貓咪的口腔黏膜(包括牙齦、舌側、喉嚨後方)會出現嚴重的、瀰漫性的發炎、紅腫、潰瘍。它的紅腫範圍更廣,程度更劇烈,常常連喉嚨都腫起來,導致貓咪無法進食。病因複雜,可能與貓卡里西病毒、貓免疫缺陷病毒等有關,但普遍認為是貓咪自身的免疫系統對牙菌斑中的細菌產生過度激烈的反應所導致。
其他潛在因素
別以為紅腫一定是牙齒的問題。腎臟病晚期的貓,因為毒素無法排出,可能出現尿毒性口炎,牙齦也會紅腫潰瘍。缺乏某些維生素(如維生素C)或患有糖尿病、貓愛滋等,也會讓口腔黏膜健康變差,更容易發炎。所以獸醫在檢查時,有時會建議抽血做生化檢查,就是要排除這些內科疾病。
| 可能原因 | 主要特徵 | 好發情況 |
|---|---|---|
| 牙結石牙齦炎 | 牙齦緣局部紅腫,有黃褐色結石,口臭 | 成年貓,口腔清潔不足 |
| 貓慢性牙齦口炎 | 口腔後部、喉嚨大範圍鮮紅潰爛,流涎,極度疼痛 | 各年齡皆可能,與免疫相關 |
| 全身性疾病引發 | 伴隨精神食慾差、多飲多尿等其他症狀 | 老年貓或有特定病史的貓 |
帶貓就醫治療的完整流程與費用估算
發現貓咪牙齦紅腫,第一步絕對是預約獸醫,而且是找有牙科專長的獸醫院更好。千萬別自己判斷或上網買藥擦,用錯方法可能讓情況惡化。以下是就醫的標準流程。
第一步:門診初步檢查
獸醫會先進行視診和觸診,輕輕掰開貓咪的嘴巴,用口腔鏡檢查紅腫範圍、有無潰瘍、牙結石程度及牙齒鬆動情況。這時獸醫會給你初步判斷,並說明是否需要進行下一步的麻醉洗牙與口腔檢查。以阿肥為例,因為結石不少且牙齦發炎明顯,獸醫強烈建議安排洗牙。
第二步:麻醉與專業處置
這是治療的核心階段。貓咪必須在全身麻醉下進行,才能徹底清潔並評估每一顆牙齒的狀況。
- 術前檢查:為了麻醉安全,通常會做血液檢查,評估肝腎功能與血球數值。
- 超音波洗牙:用專業儀器震落牙結石,類似人的洗牙,但更仔細。
- 牙周探測:這是關鍵!獸醫會用一個帶刻度的探針,測量每顆牙齒牙周囊袋的深度。深度超過一定範圍(例如3mm以上),代表牙周已經被破壞,這顆牙齒可能保不住。這個步驟在貓清醒時根本無法執行。
- 牙科X光:非常重要!有超過一半的牙齒問題藏在牙齦底下,肉眼看不到。X光可以判斷牙根是否發炎、吸收或斷裂。很多貓的「齒頸部病灶」就是靠X光才發現的。
- 必要處置:根據檢查結果,獸醫會進行拔牙、牙齦瓣手術、或牙周治療。對於嚴重的口炎,全口拔牙或近乎全口拔牙往往是效果最確切的治療方式。
一個常見的誤區:很多飼主聽到要麻醉就非常抗拒,覺得洗牙而已為什麼要冒險。但事實上,不麻醉的「偽洗牙」只能刮掉表面一點點結石,對牙齦下的結石和真正的病灶完全無能為力,反而讓飼主誤以為問題解決了,延誤治療。專業的獸醫牙科處置一定需要麻醉。
治療費用大概要準備多少?
費用因地區、醫院規模、貓咪狀況差異很大。我以阿肥在中型動物醫院的經驗為例,提供一個區間給大家參考。這只是單次處置,後續的藥物和回診還沒算在內。
| 項目 | 費用範圍(新台幣) | 說明 |
|---|---|---|
| 基本麻醉與洗牙 | 4,000 - 8,000元 | 包含麻醉、監控、超音波洗牙、拋光 |
| 全口牙科X光 | 2,000 - 4,000元 | 評估牙根健康,必要項目 |
| 單顆簡單拔牙 | 800 - 2,000元/顆 | 前臼齒或門齒,根數少 |
| 單顆複雜拔牙(大臼齒) | 2,000 - 4,000元/顆 | 牙根分岔或已病變,手術難度高 |
| 術前血液檢查 | 1,000 - 2,500元 | 確保麻醉安全 |
| 術後藥物(消炎、止痛) | 500 - 1,500元 |
所以,如果貓咪需要洗牙加拍X光,加上拔除一兩顆問題牙齒,總費用落在8,000到15,000元之間是很常見的。若是嚴重的口炎需要進行多顆或全口拔牙,費用可能會上升到兩三萬元甚至更多。事先和獸醫充分溝通估價單,了解每一筆花費的用途,心裡會比較有底。
居家護理黃金步驟:刷牙、飲食與營養補充
治療結束回家,才是長期抗戰的開始。目標是延緩牙菌斑累積,減少復發機會。
刷牙:最有效但最需要耐心
我知道給貓刷牙像打仗。但從獸醫那裡學到一個秘訣:不要追求一次刷完全口。第一天只碰嘴唇,第二天讓牠舔一點牙膏(請用貓專用可食用牙膏),第三天試著刷門齒幾下,給予獎勵。慢慢建立習慣。重點是刷牙齒和牙齦的交界處,用柔軟的寵物牙刷或指套,以畫小圓圈的方式輕輕摩擦。即使每天只成功刷30秒,也比一週暴力刷一次有效。
飲食調整的迷思與真相
很多人都說吃乾飼料可以潔牙,這是個過度簡化的說法。脆硬的飼料在咬碎瞬間或許有點摩擦作用,但對於已經形成的牙結石毫無幫助,且很多貓是直接吞的。更重要的是,碳水化合物含量高的飼料,反而更容易形成牙菌斑。獸醫的建議是:可以將處方或標榜有助口腔健康的飼料作為一部分,但絕不能替代主動刷牙。術後恢復期,則需依照醫囑給予軟食或流質食物。
輔助產品的選擇
市面上有潔牙水、潔牙粉、潔牙玩具等。我的看法是,它們可以作為「輔助」,但無法成為「主力」。有些潔牙水添加氯己定等抗菌成分,對於抑制細菌有幫助,但效果有限。潔牙玩具則要看貓咪是否願意主動去啃咬。與其花大錢買一堆產品,不如把預算和心力先放在學習如何正確刷牙上。
阿肥現在每週會刷三次牙,搭配飲水裡添加一點獸醫推薦的口腔保健液。我發現只要牙齦維持健康的粉紅色,牠的食慾和精神都會好很多。
關於貓牙齦紅腫治療的深度問答
貓牙齦紅腫可以自己買人用的口腔藥膏或噴劑來擦嗎?
絕對不行。這是我問過獸醫最危險的行為之一。人用口腔藥物的成分、劑量對貓咪可能具有毒性(例如某些含有類固醇或特定抗生素的藥膏)。而且貓咪舌頭有倒刺,會把藥膏舔食進去,造成全身性的影響。更重要的是,沒有對症下藥,擦什麼都沒用,只會掩蓋症狀,讓你誤以為好轉,實際上底下的感染或牙周破壞正在持續進行。
如果貓咪非常抗拒刷牙,還有什麼替代方案可以清潔牙齒?
對於完全無法碰觸口腔的貓,可以嘗試階梯式替代方案。首先,確保主食是優質的濕食或乾食,減少澱粉含量。其次,使用獸醫處方的抗菌漱口水添加到飲水中,或使用口腔抗菌凝膠,在貓咪睡覺時輕輕塗抹在牙齦外側,讓其透過黏膜吸收。最後,可以考慮定期(例如每年)接受獸醫評估,必要時進行麻醉洗牙,作為被動的清潔手段。但必須坦白說,這些方法的效果都遠不及正確刷牙。
貓咪拔牙後,會不會沒辦法吃東西?生活品質會變差嗎?
這是飼主最深的恐懼,但事實往往相反。貓咪的牙齒主要是用來撕裂獵物,而不是咀嚼。他們吃飼料或肉塊主要是用吞的。當一顆牙齒因為嚴重發炎、牙根吸收或牙周病而疼痛不堪時,它已經失去功能,只是一個疼痛源。拔除這顆壞牙,解除疼痛,貓咪的食慾和生活品質通常會大幅提升。我見過無數全口拔牙的口炎貓,術後快樂地大口吃著肉泥或小顆粒飼料。對他們來說,無痛地進食,遠比保留幾顆疼痛的牙齒更重要。獸醫的目標永遠是「口腔無痛」,而不是「保留每一顆牙」。